二重まぶた・全切開法
確実な二重瞼を手に入れる。しかも目が大きく開きやすくなります
皆さま二重の手術を受ける際に「できれば切らない方法で二重にしたい」とおっしゃいます。埋没法は瞼が薄いかたや、皮膚のタルミがないかたにとっては良い手術法です。しかし「睫毛内反症:(瞼が極端に厚く、逆さまつ毛の状態になっている)」や「上眼瞼皮膚弛緩症:(皮膚にタルミがあり目が開きづらい)」のかたは、目頭から目尻までバランス良く皮膚や軟部組織を切除する必要があるので、全切開法が適応になります。せっかく埋没法で二重にしても、わずか数ヵ月戻ってしまっては、無駄なことになってしまいます。全切開法を行なう意味は、
(1)二重瞼をつくること
(2)皮膚のタルミを取ること
(3)目を大きく開きやすくすること
などがありますが、その目的によって手術法が異なります。“エーブ クリニック”では、瞼の状態を的確に診断した後、ご希望の状態になるためにはどのような処置が必要かを判断して、あなたの瞼に合った理想の二重瞼をご提供いたします。
-

- 1~1.5時間
-

- OK
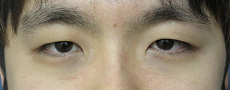
- 症例写真30代男性
-

- ▶︎

- 施術名:全切開
- 費用:¥308,000(税込)
- 施術の解説:
- 二重のラインに沿って皮膚を切開し、直下の軟部組織を切除して、重瞼線を作成します。さらに頭側の余剰皮膚・軟部組織を切除します。
- 施術のリスク・副作用:
- 皮膚過剰切除による兎眼,過大重瞼による眼瞼下垂,予定外重瞼線の出現
- 症例写真20代女性
-

- ▶︎

- 施術名:全切開
- 費用:¥308,000(税込)
- 施術の解説:
- 二重のラインに沿って皮膚を切開し、直下の軟部組織を切除して、重瞼線を作成します。さらに頭側の余剰皮膚・軟部組織を切除します。
- 施術のリスク・副作用:
- 皮膚過剰切除による兎眼,過大重瞼による眼瞼下垂,予定外重瞼線の出現
- 症例写真10代女性
-

- ▶︎

- 施術名:全切開
- 費用:¥308,000(税込)
- 施術の解説:
- 二重のラインに沿って皮膚を切開し、直下の軟部組織を切除して、重瞼線を作成します。さらに頭側の余剰皮膚・軟部組織を切除します。
- 施術のリスク・副作用:
- 皮膚過剰切除による兎眼,過大重瞼による眼瞼下垂,予定外重瞼線の出現
こんな方にオススメです
- 確実な二重瞼をつくりたい
- 目が開きヅライので、楽に開けられるようになりたい
- 目を大きくしたい
- 埋没法を受けたが、二重が消失して戻ってしまった。
全切開法の手術法

- まず椅子に座った状態でご希望される二重の形を決めて、二重のラインと皮膚切除幅をマーキングいたします。
- 仰向けになっていただき、二重のラインを再度確認してから麻酔をします。
- マーキング(デザイン)したラインに沿って切開をして、余分に存在している皮膚・皮下組織を適量切除します。キズは二重のライン上にありますので、ほとんど分からなくなります。
- 脂肪が多いかたは、隔膜(脂肪が入っている袋)を切開して脂肪を摘出いたします。
- さらに目の開きを大きくしたいかたは「挙筋タッキング」を行ないます。これは瞼を持ち上げる筋肉の先を縫縮して、瞼の引き上がりを大きくする方法です。
- 二重のラインを固定して、皮膚を縫合して終了です。
手術のポイント
| 手術時間 | 1~1.5時間(脂肪摘出、挙筋タッキングの有無で異なります) |
|---|---|
| 傷跡 | 残りません |
| 入院 | 必要ありません |
| 通院 | 5~7日後に皮膚を縫合した糸の抜糸があります。それ以降は、1ヵ月後と3ヵ月後、何か問題があるときのみご来院いただきます |
| 麻酔 | 局所麻酔または静脈麻酔 |
| 日常生活 | 手術後1ヵ月間は瞼を強くこすらないようにしてください |
- 手術は1~1.5時間程かかりますが、戻ってしまうことがない確実な二重瞼と、開きやすい大きな目を得ることができます。
- 皮膚を縫合した糸は、二重のラインに引き込まれるため、目を開けたときは分からなくなります。
- 5~7日後に皮膚を縫合した糸の抜糸があります。抜糸が終わればアイメイクOKです。
- 麻酔は瞼の皮膚に注射をして行なう局所麻酔、あるいは手術中眠ってしまう静脈麻酔のどちらかを選んでいただくことができます。
- キズあとは2~3ヵ月の間は赤みがありますが、それ以降は白く細い線状のキズになって、ノーメイクでもほとんど分からない状態になります
“エーブ クリニック”のこだわり
- その1 目が大きく開きやすくなる
- 戻ることがない確実な二重瞼を手に入れられるだけではなく、瞼を重くしている皮膚や軟部組織を切除するので、目が開きやすくなり大きな目になります。
- その2 腫れ・内出血を最小限にする
- 腫れる原因となる内出血を極力少なくするために、止血操作を十分に行なっています。さらに内出血を早く引かすお薬、腫れ止めのお薬も各種準備しております。
- その3 目立たないキズ
- 二重のラインに沿ったキズは、2~3ヵ月して赤味が消えてしまえば、ほとんど分からなくなります。キズが赤いうちはメイクでカバーできますが、赤味を早く消すためのお薬もあります。
- その4 安心の無痛麻酔
- “エーブ クリニック”では、麻酔科専門医の資格を持つ院長が責任を持って手術・麻酔を行ないます。痛みに弱いかたや手術が怖いかたには静脈麻酔で行なうことも可能です。
診療の流れ
- STEP1 予約

- お電話0120-558-896もしくはご予約専門フォームよりご予約をお取りください。
- STEP2 受付

- 予約いただいた受診日にご来院ください。受付でご要望をお伺いいたします。
- STEP3 カウンセリング

- 院長が責任を持ってカウンセリングをいたしますので、お聞きになりたいことを何でもご相談ください。瞼のご状態を診察した後、的確な診断のもとに、患者さまのご状態に合った二重瞼をご提案いたします。
- STEP4 デザイン

- 手術する部分を正確にマーキングいたします。これをデザインといいますが、これで二重瞼の形が決定してしまうので厳密に行なう必要があります。
- STEP5 麻酔

- 麻酔は瞼の皮膚に注射をして行なう局所麻酔、あるいは手術中眠ってしまう静脈麻酔のどちらかを選んでいただくことができます。
- STEP6 手術

- 手術中は瞼を軽く閉じてリラックスしてください。基本的に目は閉じている状態ですので、手術器具が直接見えてしまうことはありません。恐怖心が強いかた、極度に緊張してしまうかたは静脈麻酔で行なうほうが良いでしょう。全切開法の手術は1時間程度で終了いたします。脂肪の多いかたは脱脂を追加したり、目の開きを大きくしたいかたは挙筋タッキングを行なったりしますので、手術時間は多少異なります。
- STEP7 リカバリー

- 手術直後はベッドでお休みいただき、瞼を10~15分程度冷却いたします。腫れが気になるかたは、この時点で腫れ止めを追加することも可能です。
- STEP8 術後カウンセリング

- ご帰宅されてからの注意を説明いたします。手術後の通院は、抜糸(術後5~7日)、定期健診(術後1ヵ月、3ヵ月)になります。何か気になることや問題がある場合には、適時診察させていただきます。
手術に関して
| 施術時間 | 全切開法の手術は1時間程度で終了いたします。脂肪の多いかたは脱脂を追加したり、目の開きを大きくしたいかたは挙筋タッキングを行なったりしますので、手術時間は多少異なります。 |
|---|---|
| 傷跡 | 2~3ヵ月の間は赤みがありますが、それ以降は白く細い線状のキズになって、ノーメイクでもほとんど分からない状態になります。キズが赤いうちはメイクでカバーしていただきます。キズの赤味を早く消退させるためのお薬もあります。 |
| 麻酔 | 局所麻酔または静脈麻酔(手術中眠ってしまう麻酔法)のどちらかを選択できます。 |
| 入院 | 必要ありません。 |
| 通院 | 術後5~7日にキズを縫合している
糸を抜糸いたします。術後1ヵ月と3ヵ月に定期健診を行ないます。
何か気になることや問題がある場合には、適時診察させていただきます。 |
| 入浴・シャワー | 当日からOKです。傷口を濡らさないようにしてください。 |
| メイク | 当日からOKです。 ※手術部位(アイメイク)は抜糸後からOKになります。 |
| その他 | 手術後1ヵ月間は瞼を強くこすらないようにしてください
日焼け・強い紫外線に当たらないよう気を付けてください。 妊娠中のかたは、時期によっては手術を受けることができません。 |
料金
| 手術名 | 料金 | モニター募集 | |
|---|---|---|---|
| 全切開法 | 片目 | 184,800円 | - |
| 両目 | 308,000円 | ○ | |
※料金表記につきましては、税込表記となっております。
よくあるご質問
- Q:全切開法をした後で二重の幅は変えることができますか?
- A:二重の幅を広くすることは、比較的容易にできます。狭くすることはより難しいのですが、瞼の皮膚に余裕があれば可能です。
- Q:全切開法はどのようなリスクがありますか?
- A:二重幅の左右差や、希望のラインが出にくかったりする、形状に関してのリスクがありますが、修正が可能なものがほとんどです。目の機能に関係するトラブルは、まずありません。
- Q:ケロイド体質なのですが大丈夫でしょうか?
- A:ご自分でケロイド体質と思っていらっしゃる人の中で、真正のケロイド体質という人は本当にまれで、キズが赤く盛り上がりやすい「肥厚性瘢痕」という体質のかたがほとんどです。ケロイドの好発部位である肩や胸の中央にできたキズが盛り上がったかたでも、瞼の皮膚はケロイドにならなかったという場合があります。決してNGではありませんが、的確に術前診断を受ける必要があります。






