下眼瞼結膜側脱脂術
老けた感じ、疲れた感じのクマや目袋を改善いたします
瞼には皮下の脂肪の他に、数種類の脂肪が存在します。その中に眼球の周囲を取り囲んでいる眼窩脂肪と呼ばれる脂肪があります。眼窩脂肪が元々多いかたや、加齢により眼窩脂肪を包んでいる膜(眼窩隔膜)にタルミが生じてくると、下眼瞼が膨らんできます。これを「目袋」と呼んでいますが、クマの原因になり、疲れているような老けた印象を持たれてしまいます。この場合皮膚を切開せずに、瞼の裏側から脂肪を取り出すことによって、スッキリとした目元に変わることができます。短時間の処置で、皮膚にキズをつけずに、腫れも少ない手術法です。下眼瞼のクマや、目元のアンチエイジングでお悩みのかたは、カウンセリングにご来院されてみてはいかがでしょうか。
★よく言われている「涙袋」は、笑ったときに目袋の上にできる眼輪筋の膨らみです。この膨らみがあると、優しい表情に見えて目元のインパクトが強くなりますので、ヒアルロン酸を注入して涙袋を形成いたします。(涙袋形成術)
-

- 30分程度
-

- OK
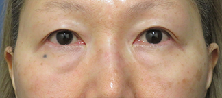
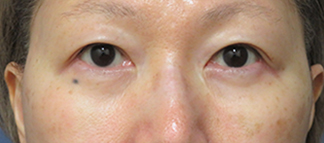
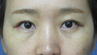
- 症例写真50代女性
-

- ▶︎

- 施術名:
下眼瞼結膜側脱脂術 - 費用:
¥269,500(税込)
- 施術の解説:
- 下眼瞼の眼窩脂肪による突出に対して、結膜側から脂肪を摘出することにより改善する方法。
- 施術のリスク・副作用:
- 過量切除による陥凹,余剰皮膚,左右差,複視
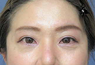
- 症例写真50代女性
-

- ▶︎

- 施術名:
下眼瞼結膜側脱脂術 + 眉毛下切開術 - 費用:
¥539,000(税込)
- 施術の解説:
-
【下眼瞼結膜側脱脂術】
下眼瞼の眼窩脂肪による突出に対して、結膜側から脂肪を摘出することにより改善する方法。
【眉毛下切開術】
上眼瞼の余剰皮膚と皮下組織に対して、眉毛より尾側の組織を切除することによって取り除く。 - 施術のリスク・副作用:
-
【下眼瞼結膜側脱脂術】
過量切除による陥凹,余剰皮膚,左右差,複視
【眉毛下切開術】
過剰切除による兎眼,左右差,瘢痕
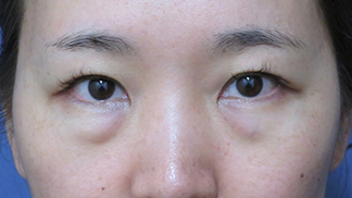
- 症例写真30代女性
-

- ▶︎

- 施術名:
下眼瞼結膜側脱脂術 + 下眼瞼下制術 - 費用:
¥577,500(税込)
- 施術の解説:
-
[下眼瞼結膜側脱脂術]
下眼瞼の眼窩脂肪による突出に対して、結膜側から脂肪を摘出することにより改善する方法。
[下眼瞼下制術]
下眼瞼皮膚と眼瞼腱膜を短縮することにより、外側の瞼裂が尾側に拡張されて、タレ目が形成される。 - 施術のリスク・副作用:
-
[下眼瞼結膜側脱脂術]
過量切除による陥凹,余剰皮膚,左右差,複視
[下眼瞼下制術]
過矯正による兎眼,後戻り,左右差,睫毛外反
- 症例写真30代女性
-

- ▶︎

- 施術名:
下眼瞼結膜側脱脂術 - 費用:
¥269,500(税込)
- 施術の解説:
- 下眼瞼の眼窩脂肪による突出に対して、結膜側から脂肪を摘出することにより改善する方法。
- 施術のリスク・副作用:
- 過量切除による陥凹,余剰皮膚,左右差,複視
こんな方にオススメです
- 下眼瞼のクマが気になっている
- 老けた感じの目元を改善したい
- 疲れているように見られてしまう
下眼瞼結膜側脱脂術の手術法

- まず椅子に座った状態で、眼窩脂肪による下眼瞼の膨らみの状態を診察し、脱脂部分をマーキングいたします。
- 仰向けになっていただき、脱脂部分を再度確認してから麻酔をします。
- 下眼瞼を牽引した状態(アカンベーの状態)で、結膜からアプローチします。
- 頬の方に向かって、皮下の層を剥離いたします。
- 続いて眼輪筋の下層を剥離いたします。
- 脂肪を包んでいる眼窩隔膜を切開し、余剰の眼窩脂肪を摘出いたします。
- 止血を確認した後、結膜を合わせて手術終了です。
手術のポイント
- 結膜からの操作になるため、皮膚にキズはできません。
- 下眼瞼の眼窩脂肪は、内側・中央・外側の3つの袋に分かれています。このうち、どの袋の脂肪が多いのかを判断して、適切な量の脂肪を摘出することが大切です。そのためには、座った状態と仰向けになった状態の両方で、脂肪の部位と摘出量を正しく判断することが重要です。
- 腫れが少ない手術ですので、ダウンタイムは比較的短期間ですみます。
“エーブ クリニック”のこだわり
- その1 カウンセリングを重要視
- 下眼瞼結膜側脱脂術は、眼窩脂肪による膨らみやクマ改善に対しては、非常に良い結果が得られます。随伴する症状がある場合には、他の術式を併用することにより、より良い効果を得ることができます。下眼瞼の皮膚にタルミがあるかたは、下眼瞼切開術が適応になりますし、ご状態によっては眼窩脂肪を下方に移動させるハムラ法が適しているケースもあります。術前のカウンセリングで正確に診断をして、どの術式が最適であるかを決定することが重要です。
- その2 効果的な手術方法
- 下眼瞼の膨らみの原因となる眼窩脂肪は、内側・中央・外側の3つの袋に分かれています。このうち、どの袋の脂肪が多いのかを判断して、適切な量の脂肪を摘出しないと、取り過ぎや取り残しの原因になります。
- その3 安心の無痛麻酔
- “エーブ クリニック”では、麻酔科専門医の資格を持つ院長が責任を持って手術・麻酔を行ないます。下眼瞼結膜側脱脂術は局所麻酔で行なうこともできますが、特に痛みに弱いかたや手術が恐いかたには、手術中に眠っていただく静脈麻酔で行なうことも可能です。
診療の流れ
- STEP1 予約

- お電話0120-558-896もしくはご予約専門フォームよりご予約をお取りください。
- STEP2 受付

- 予約いただいた受診日にご来院ください。受付でご要望をお伺いいたします。
- STEP3 カウンセリング

- 院長が責任を持ってカウンセリングをいたしますので、お聞きになりたいことを何でもご相談ください。瞼のご状態を診察した後、的確な診断のもとに、患者さまのご状態に合った方法をご提案いたします。
- STEP4 デザイン

- 手術する部分を正確にマーキングいたします。これをデザインといいますが、これでお目元の形が決定してしまうので厳密に行なう必要があります。
- STEP5 麻酔

- 麻酔は瞼の皮膚に注射をして行なう局所麻酔、あるいは手術中眠ってしまう静脈麻酔のどちらかを選んでいただくことができます。
- STEP6 手術

- 手術中は瞼を軽く閉じてリラックスしてください。途中何回か瞼を開いていただきますが、手術器具が直接見えてしまうことはありません。恐怖心が強いかた、極度に緊張してしまうかたは静脈麻酔で行なうほうが良いでしょう。
- STEP7 リカバリー

- 手術直後はベッドでお休みいただき、瞼を10~15分程度冷却いたします。腫れが気になるかたは、この時点で腫れ止めを追加することも可能です。静脈麻酔を受けられたかたは、さらに30分~1時間程度お休みいただきます。
- STEP8 術後カウンセリング

- ご帰宅されてからの注意を説明いたします。その後は1ヵ月後と3ヵ月後に定期検診がありますが、何か気になることや問題がある場合には、適時診察させていただきます。
手術に関して
| 施術時間 | 30分程度です。 |
|---|---|
| 傷跡 | 手術操作は結膜側から行ないますので、皮膚にキズはできません。 |
| 麻酔 | 局所麻酔(ブロック麻酔併用)または静脈麻酔(手術中眠ってしまう麻酔法)のどちらかを選択できます。 |
| 入院 | 必要ありません。 |
| 通院 | 術後1ヵ月と3ヵ月に定期検診を行ないます。検診日以外でも、何か気になることや問題がある場合には、適時診察させていただきます。 |
| 入浴・シャワー | 当日からOKです。 |
| メイク | 当日からOKです。 |
| その他 | コンタクトレンズは数日間控えてください。 手術後1ヵ月間は瞼を強くこすらないようにしてください。 日焼け・強い紫外線に当たらないよう気を付けてください。 妊娠中のかたは、時期によっては手術を受けることができません。 |
料金
| 手術名 | 料金 | モニター募集 | |
|---|---|---|---|
| 下眼瞼結膜側脱脂術 | 片目 | 161,700円 | - |
| 両目 | 269,500円 | ○ | |
※料金表記につきましては、税込表記となっております。
よくあるご質問
- Q:術後の腫れが心配ですが、他にリスクはありますか?
- A:下眼瞼結膜側脱脂術は、皮膚切開をしないので、術後の腫れが少ない手術です。皮膚にキズはできませんが、リスクとしては、結膜(白眼)の充血や出血、結膜浮腫(白眼にできる水泡)などが、術後に出現する場合があります。これらの症状が出現した場合には、消退するまでに1週間程かかります。
- Q:目の下のクマが気になります。日によって状態が違うのですが、どうしたら良いでしょうか?
- A:目の下の膨らみを「クマ」と呼んでいますが、これは眼球を取り囲んでいる眼窩脂肪が前方に突出してきたものです。重力によって奥の脂肪は、どんどん前の方に移動してきます。朝起きたときに比べて、夕方や夜になると脂肪は前方に移動するので、膨らみは大きくなります。お目元が気になるようでしたら、脱脂をお考えになられてみてはいかがでしょうか。
- Q:脱脂をしても、また再発しませんか?
- A:眼窩脂肪を包んでいる膜(眼窩隔膜)は、加齢変化とともに弛緩してきます。それによって脂肪は前方に移動してまいります。確かに一度脱脂をして、スッキリしたご状態になったとしても、その後の加齢により眼窩脂肪は多少前方に移動してきます。しかし元々の脂肪の総量が減っていますので、手術前程の大きさにはなりません。






