上眼瞼切開術
上眼瞼のタルミを取ることで、顔全体が若返り、視界が広がります
前額や頬・頚部、目元周囲などのタルミに対して、フェイスリフトや除皺術が行なわれていますが、こと上眼瞼のタルミ取りに関しては、1つの手術で多くの問題点が改善される手術です。まずタルミが無くなることで目が大きくなり、目元がスッキリとして形が良くなります。またタルミが強いと前額にシワをつくって眉毛を上げてしまうため、頭痛や肩・頚コリの原因になりますが、これが改善することにより、前額のシワが無くなり、顔全体が若返りアンチエイジングの効果があります。さらに目を開くのが楽になるため、頭痛や肩・頚コリが解消いたします。上瞼のタルミ取りは、単に外見的な問題の改善だけではなく、目を開く機能の改善も同時に得られます。“エーブ クリニック”のタルミ取りで、これからのライフスタイルを向上させてみてはいかがでしょうか。
-

- 1.5時間程度
-

- OK
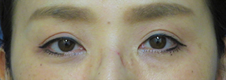
- 症例写真40代女性
-

- ▶︎

- 施術名:
上眼瞼切開:除皺術(タルミ取り) - 費用:
¥308,000(税込)
- 施術の解説:
- 上眼瞼の余剰皮膚と皮下組織を、重瞼線より頭側の組織を切除することによって取り除く。
- 施術のリスク・副作用:
- 過剰切除による兎眼,左右差
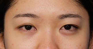
- 症例写真20代女性
-

- ▶︎

- 施術名:
上眼瞼切開 + タッキング術 - 費用:
¥396,000(税込)
- 施術の解説:
-
[上眼瞼切開]
上眼瞼の余剰皮膚と皮下組織を、重瞼線より頭側の組織を切除することによって取り除く。
[タッキング術]
挙筋腱膜の弛緩による瞼裂狭小に対して、皮膚側または結膜側から、挙筋腱膜を剥離して弛緩した部分を短縮する。 - 施術のリスク・副作用:
-
[上眼瞼切開]
過剰切除による兎眼,左右差
[タッキング術]
過矯正による兎眼,左右差,睫毛外反
- 症例写真20代女性
-

- ▶︎

- 施術名:
上眼瞼切開 + 左目 目頭切開術 - 費用:
¥373,500(税込)
- 施術の解説:
-
[上眼瞼切開]
上眼瞼の余剰皮膚と皮下組織を、重瞼線より頭側の組織を切除することによって取り除く。
[目頭切開]
皮膚切除または皮弁形成により、内眼角贅皮(モウコヒダ:内眼角を被う皮膚のヒダ)の形状を調える。 - 施術のリスク・副作用:
-
[上眼瞼切開]
過剰切除による兎眼,左右差
[目頭切開]
後戻り,左右差,過剰切除(涙丘の露出)
- 症例写真20代女性
-

- ▶︎

- 施術名:
上眼瞼切開:除皺術(タルミ取り) + タッキング術 - 費用:
¥396,000(税込)
- 施術の解説:
-
[上眼瞼切開]
上眼瞼の余剰皮膚と皮下組織を、重瞼線より頭側の組織を切除することによって取り除く。
[タッキング術]
挙筋腱膜の弛緩による瞼裂狭小に対して、皮膚側または結膜側から、挙筋腱膜を剥離して弛緩した部分を短縮する。 - 施術のリスク・副作用:
-
[上眼瞼切開]
過剰切除による兎眼,左右差
[タッキング術]
過矯正による兎眼,左右差,睫毛外反
こんな方にオススメです
- 上眼瞼のタルミが気になる
- 瞼が重く、モノを見るのがつらい
- 前額にシワができて、オデコの筋肉が疲れる
- 頭痛、肩・頚コリがある
上眼瞼切開の手術法

- まず椅子に座った状態で余剰皮膚・タルミの状態を診察し、二重のラインと皮膚切除幅をマーキングいたします。
- 仰向けになっていただき、皮膚切除量を再度確認してから麻酔をします。
- マーキング(デザイン)したラインに沿って切開をして、余分に存在している皮膚・皮下組織を適量切除します。
- 脂肪が多いかたは、隔膜(脂肪が入っている袋)を切開して脂肪を摘出いたします。
- さらに目の開きを大きくしたいかたは「挙筋タッキング法」を行ないます。これは瞼を持ち上げる筋肉の先を縫縮して、瞼の引き上がりを大きくする方法です。
- 二重瞼をつくる場合には、ここで皮膚と瞼板前組織を縫合固定し、二重のラインを作成いたします
- 皮膚を縫合して終了です。
手術のポイント
- 手術は1~1.5時間程かかりますが、タルミは確実に改善し、開きやすい大きな目を得ることができます。
- 皮膚を縫合した糸は、二重のラインに引き込まれるため、目を開けたときは分からなくなります。
- 5~7日後に皮膚を縫合した糸の抜糸があります。抜糸が終わればアイメイクOKです。
- キズあとは2~3ヵ月の間は赤みがありますが、それ以降は白く細い線状のキズになって、ノーメイクでもほとんど分からない状態になります。
- 麻酔は瞼の皮膚に注射をして行なう局所麻酔、あるいは手術中眠ってしまう静脈麻酔のどちらかを選んでいただくことができます。 (⇒「麻酔」のページをご覧ください)
“エーブ クリニック”のこだわり
- その1 目が大きく開きやすくなる
- タルミが取れてスッキリとした形の良い目元になるだけではなく、瞼を重くしている皮膚や軟部組織を切除するので、目が大きく開きやすくなります。眼瞼下垂があるかたは、挙筋タッキング法を併用することによって、さらに効果的に瞼が開きやすくなります。
- その2 腫れ・内出血を最小限にする
- 腫れの原因となる内出血を極力少なくするために、止血操作を充分に行なっています。さらに内出血や腫れを早く改善するための、内服薬も各種準備しております。
- その3 目立たないキズ
- 二重のラインに沿ったキズは、2~3ヵ月して赤味が消えてしまえば、ほとんど分からなくなります。キズが赤いうちはメイクでカバーできますが、赤味を早く改善するためのお薬も備えてあります。
- その4 安心の無痛麻酔
- “エーブ クリニック”では、麻酔科専門医の資格を持つ院長が責任を持って手術・麻酔を行ないます。痛みに弱いかたや手術が怖いかたには静脈麻酔で行なうことも可能です。
診療の流れ
- STEP1 予約

- お電話0120-558-896もしくはご予約専門フォームよりご予約をお取りください。
- STEP2 受付

- 予約いただいた受診日にご来院ください。受付でご要望をお伺いいたします。
- STEP3 カウンセリング

- 院長が責任を持ってカウンセリングをいたしますので、お聞きになりたいことを何でもご相談ください。瞼のご状態を診察した後、的確な診断のもとに、患者さまのご状態に合った方法をご提案いたします。
- STEP4 デザイン

- 手術する部分を正確にマーキングいたします。これをデザインといいますが、これでお目元の形が決定してしまうので厳密に行なう必要があります。
- STEP5 麻酔

- 麻酔は瞼の皮膚に注射をして行なう局所麻酔、あるいは手術中眠ってしまう静脈麻酔のどちらかを選んでいただくことができます。
- STEP6 手術

- 手術中は瞼を軽く閉じてリラックスしてください。途中何回か瞼を開いていただきますが、手術器具が直接見えてしまうことはありません。恐怖心が強いかた、極度に緊張してしまうかたは静脈麻酔で行なうほうが良いでしょう。
- STEP7 リカバリー

- 手術直後はベッドでお休みいただき、瞼を10~15分程度冷却いたします。腫れが気になるかたは、この時点で腫れ止めを追加することも可能です。静脈麻酔を受けられたかたは、さらに30分~1時間程度お休みいただきます。
- STEP8 術後カウンセリング

- ご帰宅されてからの注意を説明いたします。手術から5~7日後に抜糸を行ないます。その後は1ヵ月後と3ヵ月後に定期検診がありますが、何か気になることや問題がある場合には、適時診察させていただきます。
手術に関して
| 施術時間 | 上眼瞼切開術は1時間程度で終了いたします。脂肪の多いかたは脱脂を追加したり、目の開きを大きくしたいかたや眼瞼下垂のかたは挙筋タッキングを行ないますので、手術時間は多少異なります。 |
|---|---|
| 傷跡 | 手術後3ヵ月程はキズの赤味が強い時期がありますが、軽くアイメイクをすることでカバーできます。その後は白色のキズになり、ノーメイクでも目立たなくなります。 |
| 麻酔 | 局所麻酔または静脈麻酔(手術中眠ってしまう麻酔法)のどちらかを選択できます。 |
| 入院 | 必要ありません。 |
| 通院 | 手術から5~7日後に抜糸を行ないます。その後は1ヵ月後と3ヵ月後に定期検診があります。何か気になることや、問題が生じて処置が必要な際には適時診察させていただきます。 |
| 入浴・シャワー | 当日からOKです。傷口を濡らさないようにしてください。 |
| メイク | 当日からOKです。 ※手術部位(アイメイク)は抜糸後からOKになります。 |
| その他 | 手術後1ヵ月間は瞼を強くこすらないようにしてください
日焼け・強い紫外線に当たらないよう気を付けてください。 妊娠中のかたは、時期によっては手術を受けることができません。 |
料金
| 手術名 | 料金 | モニター募集 | |
|---|---|---|---|
| 上眼瞼切開:除皺術(タルミ取り) | 片目 | 184,800円 | - |
| 両目 | 308,000円 | ○ | |
※料金表記につきましては、税込表記となっております。
よくあるご質問
- Q:眼瞼下垂の手術とは違うのですか?
- A:加齢変化によって、瞼の状態は徐々に変化してまいります。「上眼瞼皮膚弛緩症」は瞼の皮膚のタルミが強い状態で、「眼瞼下垂」は瞼を開く筋肉である眼瞼挙筋の先の挙筋腱膜が伸びてしまった状態です。皮膚と挙筋腱膜の弛緩とは病態が違いますので、改善方法が全く異なります。前者には上眼瞼切開術、後者には挙筋タッキング法が適応になります。しかし両方とも瞼が開きづらい状態ですので、前額にシワができて目を開くのが疲れますし、頭痛や肩・頚コリの原因になります。両方とも同じような症状が出現するのですが、手術適応を間違えますと、せっかく手術を受けても効果がなく、かえって症状が悪化してしまう場合があります。カウンセリング時に確実に診断を受け、ご状態に適した改善方法を選択する必要があります。
- Q:なるべく腫れないようにしたいのですが?
- A:上眼瞼切開術は上眼瞼皮膚のタルミを取る方法ですが、それよりもっと上方の眉毛下切開をする方法もあります。この場合は眉毛の下にキズができますが、3ヵ月ほど経ってキズが白っぽくなると、ほとんど分からなくなります。上眼瞼切開術に比較して、腫れはかなり少なく、抜糸のころには落ち着いている状態になります。どちらの方法が良いかは、カウンセリングのときに診察を受けて、より適した方法を選択されると良いでしょう。
- Q:元々一重瞼だったのですが、40歳になってタルミが強くなり、瞼が重くなってしまいました。タルミを取るときに、ついでに二重瞼になりたいのですができますか?
- A:一回の手術で、タルミの改善と同時に二重瞼になることができます。余剰皮膚を切除するときに、下側の皮下軟部組織(眼輪筋)を処理することによって、その部分に二重のラインを作成いたします。この機会に、上眼瞼のタルミを取り去って、ご希望であった二重瞼にされてみてはいかがでしょうか






