下眼瞼下制術
つり上がったキツイ目尻を改善して、優しい目元に変身
一般的に西洋人と比較して、東洋人の目尻は若干ツリ上がった形をしています。その角度の平均は10~15度といわれていますが、あまりにツリ上がった目尻はいつも怒っているような、キツイ印象を与えてしまいます。下眼瞼下制術は目尻側の皮膚と結膜の組織を切除することによって、目尻側の目の縦幅を拡大する方法です。これによって、ツリ目が解消され、目元が優しいイメージに変化いたします。
また、目の縦幅が大きくなることで目元のインパクトが強くなり、目ヂカラがアップします。下眼瞼下制術は、目元の印象を大きく変えることができますが、比較的短時間で終了する、腫れが少ない手術です。
-

- 1時間程度
-

- OK
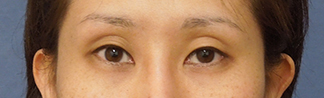
- 症例写真30代女性
-

- ▶︎

- 施術名:
下眼瞼下制術 + 下眼瞼結膜側脱脂術 - 費用:
¥577,500(税込)
- 施術の解説:
-
[下眼瞼下制術]
下眼瞼皮膚と眼瞼腱膜を短縮することにより、外側の瞼裂が尾側に拡張されて、タレ目が形成される。
[下眼瞼結膜側脱脂術]
下眼瞼の眼窩脂肪による突出に対して、結膜側から脂肪を摘出することにより改善する方法。 - 施術のリスク・副作用:
-
[下眼瞼下制術]
過矯正による兎眼,後戻り,左右差,睫毛外反
[下眼瞼結膜側脱脂術]
過量切除による陥凹,余剰皮膚,左右差,複視
- 症例写真30代女性
-

- ▶︎

- 施術名:
下眼瞼下制術 - 費用:
¥308,000(税込)
- 施術の解説:
- 下眼瞼皮膚と眼瞼腱膜を短縮することにより、外側の瞼裂が尾側に拡張されて、タレ目が形成される。
- 施術のリスク・副作用:
- 過矯正による兎眼,後戻り,左右差,睫毛外反
こんな方にオススメです
- 目尻がつり上がっている
- 優しい目元になりたい
- ダウンタイムがあまり取れない
- 目を大きくしたい
下眼瞼下制術の手術法

- まず椅子に座った状態で目尻の状態を診察いたします。
- 仰向けになっていただき、目尻側の組織の切除量を再度確認してから麻酔をします。
- 下睫毛から1.5mm下方の皮膚を切開いたします。切開は下眼瞼の縁に沿って行ないますので、キズはほとんど分からなくなります。皮膚・皮下組織を適量切除します。
- 結膜側を切開し、粘膜とその下層の組織を、皮膚側の切除量に合わせて切除いたします。途中何度か目を開けていただいて、ご状態を確認いたします。
- 左右差がなくバランスが良い状態が確認されたら、皮膚を縫合して終了です。
手術のポイント
- 手術は1時間程度で終了いたします。
- 腫れや内出血が少ない手術ですが、結膜(白目)に充血や出血、浮腫(ムクミ)が起こる場合があります。
- 5~7日後に皮膚を縫合した糸の抜糸があります。抜糸が終わればアイメイクOKです。
- キズあとは2~3ヵ月の間は赤みがありますが、それ以降は白く細い線状のキズになって、ノーメイクでもほとんど分からない状態になります
- 麻酔は瞼の皮膚に注射をして行なう局所麻酔、あるいは手術中眠ってしまう静脈麻酔のどちらかを選んでいただくことができます。(⇒「麻酔」のページをご覧ください)
“エーブ クリニック”のこだわり
- その1 効果的な手術法
- 下眼瞼下制術は皮膚側と結膜側の組織をバランス良く切除することが重要です。正確に行なわれないと左右差ができたり、下睫毛の向きが変わってしまいます。また組織を切除することで、基本的には戻すことができない手術なので、組織を取り過ぎないように注意が必要です。
- その2 腫れない手術法
- 腫れの原因となる内出血を極力少なくするために、止血操作を充分に行なっています。さらに内出血や腫れを早く改善する内服薬を多種類備えております。
- その3 安心の無痛麻酔
- “エーブ クリニック”では、麻酔科専門医の資格を持つ院長が責任を持って手術・麻酔を行ないます。痛みに弱いかたや手術が怖いかたには静脈麻酔で行なうことも可能です。
診療の流れ
- STEP1 予約

- お電話0120-558-896もしくはご予約専門フォームよりご予約をお取りください。
- STEP2 受付

- 予約いただいた受診日にご来院ください。受付でご要望をお伺いいたします。
- STEP3 カウンセリング

- 院長が責任を持ってカウンセリングをいたしますので、お聞きになりたいことを何でもご相談ください。瞼のご状態を診察した後、的確な診断のもとに、患者さまのご状態に合った方法をご提案いたします。
- STEP4 デザイン

- 手術する部分を正確にマーキングいたします。これをデザインといいますが、これでお目元の形が決定してしまうので厳密に行なう必要があります。
- STEP5 麻酔

- 麻酔は瞼の皮膚に注射をして行なう局所麻酔、あるいは手術中眠ってしまう静脈麻酔のどちらかを選んでいただくことができます。
- STEP6 手術

- 手術中は瞼を軽く閉じてリラックスしてください。途中何回か瞼を開いていただきますが、手術器具が直接見えてしまうことはありません。恐怖心が強いかた、極度に緊張してしまうかたは静脈麻酔で行なうほうが良いでしょう。
- STEP7 リカバリー

- 手術直後はベッドでお休みいただき、瞼を10~15分程度冷却いたします。腫れが気になるかたは、この時点で腫れ止めを追加することも可能です。静脈麻酔を受けられたかたは、さらに30分~1時間程度お休みいただきます。
- STEP8 術後カウンセリング

- ご帰宅されてからの注意を説明いたします。手術から5~7日後に抜糸を行ないます。その後は1ヵ月後と3ヵ月後に定期検診がありますが、何か気になることや問題がある場合には、適時診察させていただきます。
手術に関して
| 施術時間 | 下眼瞼下制術は1時間程度で終了いたします。 |
|---|---|
| 傷跡 | 手術後3ヵ月程はキズの赤味が強い時期がありますが、軽くアイメイクをするとカバーできます。その後は白色のキズになり、ノーメイクでも目立たなくなります。 |
| 麻酔 | 局所麻酔または静脈麻酔(手術中眠ってしまう麻酔法)のどちらかを選択できます。 |
| 入院 | 必要ありません。 |
| 通院 | 手術から5~7日後に抜糸を行ないます。その後は1ヵ月後と3ヵ月後に定期検診があります。何か気になることや、問題が生じて処置が必要な際には適時診察させていただきます。 |
| 入浴・シャワー | 当日からOKです。傷口を濡らさないようにしてください。 |
| メイク | 当日からOKです。 ※手術部位(アイメイク)は抜糸後からOKになります。 |
| その他 |
コンタクトレンズは数日間控えてください。
手術後1ヵ月間は瞼を強くこすらないようにしてください 。 日焼け・強い紫外線に当たらないよう気を付けてください。 妊娠中のかたは、時期によっては手術を受けることができません。 |
料金
| 手術名 | 料金 | モニター募集 | |
|---|---|---|---|
| 下眼瞼下制術 | 片目 | 184,800円 | - |
| 両目 | 308,000円 | ○ | |
※料金表記につきましては、税込表記となっております。
よくあるご質問
- Q:腫れが心配なのですが、大丈夫でしょうか?
- A:目元の手術の中でも、下眼瞼下制術は術後の腫れが少ない手術です。他の手術と比べて問題になるのは、結膜(白眼)への影響です。結膜の充血や出血、結膜浮腫(白眼にできる水泡)などが、術後に出現する場合があります。その場合には、消退するまでに1週間程かかります。
- Q:涙袋をつくりたいのですが、ヒアルロン酸注入と同時にできますか?
- A:ヒアルロン酸を注入して涙袋(涙堂)を形成するのは、同時にはできません。早くても手術から1ヵ月以降になります。手術の後は肥厚した瘢痕により皮膚・皮下組織が硬くなるので、ヒアルロン酸を注入しても効果的に膨らまない可能性があります。1~3ヵ月経過して皮膚・皮下組織の硬さがなくなれば、ヒアルロン酸の注入が可能になります。
- Q:皮膚を切開しなければいけませんか?
- A:結膜側の組織だけを切除すると、睫毛が眼球側に傾いてしまいます。微細な変化を希望される場合や、元々睫毛が皮膚側に傾いている場合には皮膚側からの切開をしなくても、ある程度の効果が期待できます。しかしご状態によっては、睫毛が内側に向いてしまって、睫毛内反(逆さまつ毛)になってしまうので注意が必要です。






